DOCTORES
Servicios que ofrecemos.
En tu experiencia TOP contarás con:
“El 80% de los pacientes confían en su doctor como guía.”
Eres la referencia para que ellos tomen la decisión, promueve comodidad y confianza con Top Aligners.
¿Cómo llegaremos al destino deseado?
1
2
3
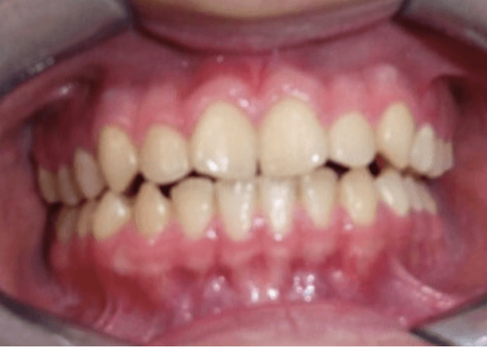
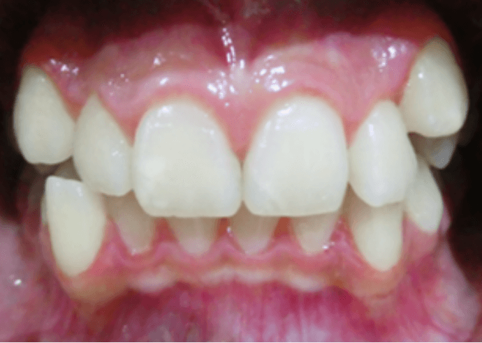
Casos de éxito:
Sonrisas Transformadas
Si ellos lo consiguieron con nosotros, ¿Qué esperas para ser el siguiente?
“Cada viaje comienza con un primer paso.”
El camino puede ser desafiante, pero, con nuestra formación y soporte cada obstáculo se convierte en una curva fácil de superar.
¿Tienes dudas?
¿Necesito formación previa para ofrecer este tratamiento?
¿Cómo se manejan los casos clínicos y el seguimiento de los pacientes?
¿Cuál es el tiempo de entrega de los alineadores desde que se hace el pedido?
¿Cómo puedo aliarme con la clínica para que sea mi proveedor de alineadores para mis pacientes?
¿Puedo elegir qué casos tratar con alineadores y cuáles derivar?
¿Cuánto cuesta el servicio para los doctores aliados?
¿Qué ventajas tiene asociarse con TOP ALIGNERS en comparación con otras marcas de alineadores?













